Editors: Collins, Jannette; Stern, Eric J.
Title: Chest Radiology: The Essentials, 2nd Edition
> Table of Contents > Chapter 17 - Pulmonary Vasculature Disease
Chapter 17
Pulmonary Vasculature Disease
Pulmonary vascular disease is a relatively common cause of chest pain and dyspnea. It can be acute, as in pulmonary embolism (PE), or chronic, as in most cases of pulmonary arterial hypertension (PAH). This chapter will review these two conditions and pulmonary artery tumors. Pulmonary arteriovenous malformations are discussed in Chapter 16.
Pulmonary Thromboembolic Disease
PE is the third most common acute cardiovascular disease, after myocardial infarction and stroke (1). However, there is considerable uncertainty and confusion with regard to accurate diagnosis of this condition. The clinical signs and symptoms associated with PE are nonspecific, as are laboratory investigations, electrocardiograms, and chest radiographs. When PE occurs without infarction, the chest radiograph may be normal, or it may show any or all of the following: oligemia of the affected lung (the Westermark sign; see Fig. 2-21), increase in the size of the main pulmonary artery, elevation of the diaphragm, pleural effusion (usually small and unilateral), or discoid atelectasis. The chest radiograph is usually abnormal in patients with PE, however, with nonspecific subsegmental atelectasis being the most common abnormal finding (2). No chest radiographic sign is specific for pulmonary embolism or infarction, and the sensitivity of chest radiography for these conditions is poor. Even with a large pulmonary artery clot burden, the chest radiograph can be normal (3). The main role of the chest radiograph, therefore, is to exclude other diagnoses that might mimic PE clinically, such as pneumonia or pneumothorax. Because PE often goes undetected, the diagnosis of PE should be considered in any patient who presents with acute shortness of breath and pleuritic chest pain.
Deep venous thrombosis (DVT) originates most commonly in lower-extremity or pelvic veins, where they dislodge and propagate cranially into the pulmonary arterial tree. Radiologic studies used to diagnose thromboembolic disease include chest radiography, ventilation-perfusion (V/Q) scans, computed tomographic pulmonary angiography (CTPA), magnetic resonance imaging/magnetic resonance angiography (MRI/MRA), CT venography (CTV), MR venography, and lower-extremity ultrasound. Once the gold standard for diagnosing PE, catheter-based pulmonary angiography has largely been replaced by CTPA and is now used mainly when the results of CTPA and V/Q scanning are indeterminate and there is continued high clinical suspicion of PE. The ideal test to diagnose PE should be accurate, direct (objective), rapid, safe, readily available, and of reasonable cost. Because only approximately 30% of patients with clinically suspected PE have the disease (4), a diagnostic test that is able to provide information regarding the presence and significance of other chest disease would also be desirable. None of the common tests in use (other than CTPA) meet all or even most of these criteria. V/Q scintigraphy was the main imaging modality used in the evaluation of patients with suspected PE until the advent of multidetector CT scanning. A high-probability V/Q scan provides sufficient certainty to confirm the diagnosis of PE, while a normal or near normal scan reliably excludes the diagnosis. However, in the Prospective Investigation of Pulmonary Embolism Diagnosis (PIOPED) study (4), indeterminate scans, which were present in 364 (39%) of 931 patients, showed a 30% incidence of PE, and low-probability scans (i.e., two thirds of V/Q scans in the PIOPED study) were not useful in establishing or excluding PE. In many institutions, CTPA has become the test of choice rather than V/Q scintigraphy or catheter-based pulmonary angiography. A suggested diagnostic algorithm for the evaluation of suspected PE is described in Table 17-1.
Recent studies have found the sensitivity of thin-section multidetector CTPA to be 96% to 100% and the specificity to be 89% to 98% for the detection of pulmonary emboli to the level of the subsegmental arteries (5,6). Characteristic findings of acute PE are: (a) partial central filling defect surrounded by a thin rim of contrast material, or (b) complete filling defect with obstruction of an entire vessel section (“vessel cutoff sign”) (Figs. 17-1, 17-2, 17-3, 17-4, 17-5). Pulmonary arteries that are completely obstructed by an acute embolus usually have an increased diameter (Figs. 17-6 and 17-7). Arteries peripheral to a central thrombus may or may not opacify. Central clot does not necessarily completely obstruct the distal flow of contrast. Although nonocclusive clot is depicted by CTPA, false-negative
P.272

scintigraphy in this setting is well known. Acute embolic obstruction of a large degree of the pulmonary circulation increases pulmonary vascular resistance, leading to acute PAH. CTPA findings suggesting this complication include right ventricular enlargement (right ventricle/left ventricle ratio >1) and straightening or leftward bowing of the interventricular septum (Fig. 17-8). Pitfalls to be aware of in diagnosing PE include lymph nodes; impacted bronchi (Figs. 17-9 and 17-10); respiratory motion; vessel bifurcation; unopacified pulmonary veins (Fig. 17-11); periarterial abnormalities (lymph node enlargement or infiltration of the axial interstitium by edema fluid, inflammation, or neoplasm); pulmonary artery catheters; and pulmonary artery sarcoma (7).
TABLE 17-1 DIAGNOSTIC ALGORITHM FOR THE EVALUATION OF SUSPECTED PULMONARY EMBOLISM
  1. All patients should have a chest radiograph, the main role of which is to exclude abnormalities, such as acute pneumonia, that may mimic pulmonary embolism clinically.
  2. Patients with symptoms or signs of DVT should undergo evaluation of the leg veins with Doppler ultrasound. If Doppler ultrasound is positive, the patient can be considered to have acute pulmonary embolism and usually does not require further investigation.
  3. Patients who have no symptoms or signs of DVT and symptomatic patients who have a negative Doppler ultrasound examination, and who do not have extensive underlying parenchymal lung disease or COPD, should undergo V/Q scintigraphy.* A high-probability or normal V/Q scan can be considered diagnostic. All other patients should undergo further evaluation with CTPA.
  4. Patients who have extensive pulmonary parenchymal disease or COPD and patients who have a nondiagnostic V/Q scan should undergo CTPA.
  5. Patients in whom the CTPA scans are suboptimal and patients in whom the CTPA results are negative, but who have a high clinical index of suspicion for acute pulmonary embolism, should undergo catheter-based pulmonary angiography.
DVT, deep venous thrombosis; COPD, chronic obstructive pulmonary disease; V/Q, ventilation-perfusion; CTPA, computed tomographic pulmonary angiography.
*At many institutions, V/Q scanning has been largely eliminated from the diagnostic algorithm, with patients going directly to CTPA instead. In addition, more and more diagnostic algorithms begin with a D-dimer assay.
FIGURE 17-1. Incidental PE on CT. CT of a 70-year-old man with colon cancer shows intraluminal filling defect (arrow) in the right upper lobe pulmonary artery. The study was performed to assess for metastatic disease. Acute emboli are occasionally detected incidentally on routine CT; such findings illustrate the importance of evaluating the pulmonary arteries on all CT studies.
FIGURE 17-2. Acute PE. Coronal CTPA of a 43-year-old man with acute shortness of breath shows extensive intraluminal filling defect within the right lower lobe pulmonary arteries (arrows).
CTPA findings diagnostic of chronic PE include mural thrombus (adherent to the arterial wall), which may or may not be calcified (Fig. 17-12); webs; stenosis or strictures of the arteries (Fig. 17-13); and a central "dot" of contrast surrounded by circumferential thrombus, which is indicative of recanalization. Ancillary findings include mosaic perfusion with decreased caliber of vessels in the hypoattenuated areas of lung (Fig. 17-14), enlarged pulmonary arteries and right ventricle (Figs. 17-15 and 17-16), and enlarged bronchial arteries (Figs. 17-3 and 17-17). CTPA, like conventional angiography, usually enables distinction between acute and chronic PE; this is not possible with scintigraphy.
The clinical significance of small emboli is unclear, but data suggest that small, untreated clots in patients without impaired cardiopulmonary reserve may not be associated with poor outcome (8). Several investigations have found that the negative predictive value of CTPA ≥97% (9), suggesting that anticoagulants can be safely withheld when CTPA is normal and of good diagnostic quality. In patients without concomitant cardiopulmonary disease, no difference in the incidence of recurrent PE between treated and untreated patients with small clots has been noted (10). However, in patients with limited cardiopulmonary reserve, such small emboli may be fatal. Isolated subsegmental clot on single-detector CT is very unusual, and the risk of anticoagulation may exceed the risk of morbidity and mortality from the suspected clot in this setting (11).
Major advantages of CTPA over V/Q scintigraphy to investigate patients suspected of acute PE include (a) direct visualization of emboli on CTPA; (b) evaluation of the lung parenchyma and mediastinum, which may provide an alternate diagnosis; and (c) capability of acquiring a CTV study without
P.273

P.274

P.275

P.276

P.277

P.278

P.279

P.280

additional contrast (Fig. 17-18). Investigators have shown that CTPA provides an alternative diagnosis (e.g., pneumonia, pneumothorax, pleural effusion, pericarditis, aortic dissection, aortic aneurysm, congestive heart failure, rib fracture, lung nodules or mass, mediastinal mass or air, gallstones, chronic obstructive pulmonary disease) in up to two thirds of patients with an initial suspicion of PE (8). Limitations of CTPA include patients with an allergy to contrast material, impaired renal function, the inability to lie supine, the inability to be transported to the CT scanner, or inadequate intravenous access. Other limitations of CTPA include motion artifact caused by inability of the patient to hold his or her breath or by adjacent cardiac motion, poor contrast bolus enhancement, image noise in large patients, partial volume averaging (Fig. 17-19), parenchymal disease, and streak artifact from lines and tubes or dense contrast material.
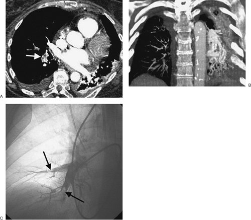
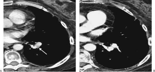
FIGURE 17-3. Acute PE. A: CTPA of a 77-year-old man with shortness of breath shows an intraluminal filling defect, surrounded by a rim of contrast, within the right lower lobe segmental pulmonary arteries (arrow). B: Coronal CTPA shows decreased caliber of arteries in the right lung compared with the left and filling defect within right lower lobe vessels. C: Catheter-based pulmonary angiogram confirms clot within right lower lobe vessels (arrows).
FIGURE 17-4. Acute PE. A: CTPA of a 77-year-old woman with a gastrointestinal bleed and DVT shows an intraluminal filling defect in a left lower lobe segmental pulmonary artery (arrow). B: CTPA at a more superior level shows intraluminal filling defects, surrounded by contrast material, in the right middle lobe and left lower lobe pulmonary arteries (arrows). C: CTPA at a level superior to (B) shows an intraluminal filling defect, surrounded by a thin rim of contrast material, in a right lower lobe segmental pulmonary artery (arrow).
FIGURE 17-5. Acute PE. A: CTPA of a 78-year-old woman shows an intraluminal filling defect surrounded by contrast material in the proximal right lower lobe pulmonary artery (arrow). B: Coronal CTPA shows that the intraluminal filling defect extends from the proximal right lower lobe pulmonary artery inferiorly to distal branches (arrows). C: CTPA with lung windowing shows oligemia and diminution of vessels on the right (Westermark sign).
FIGURE 17-6. Acute PE. A: Posteroanterior (PA) chest radiograph of a 52-year-old woman with cholangiocarcinoma shows a rounded opacity at the left costophrenic angle, representing a Hampton hump of pulmonary infarction. B: CTPA shows a saddle embolus bridging the lingular and left lower lobe pulmonary arteries (arrow). C: CTPA at a more inferior level shows intraluminal filling defects expanding the proximal lower lobe pulmonary arteries (arrows).
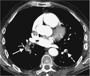
FIGURE 17-7. Acute PE. CTPA of a 76-year-old man with acute shortness of breath shows a large intraluminal filling defect within the proximal right lower lobe pulmonary artery (solid arrow) and a smaller intraluminal filling defect within a segmental pulmonary artery to the left lower lobe (dashed arrow).
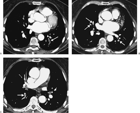
FIGURE 17-8. Acute PE associated with pulmonary arterial hypertension. A: CTPA of a 23-year-old man involved in a motor vehicle crash shows a saddle embolus straddling the right and left main pulmonary arteries (arrows). The central pulmonary arteries are enlarged. B: CTPA at a more inferior level shows thrombus within segmental branches of the lower lobe pulmonary arteries (arrows). C: CTPA at a level inferior to (B) shows leftward bowing of the interventricular septum (arrow).
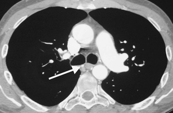
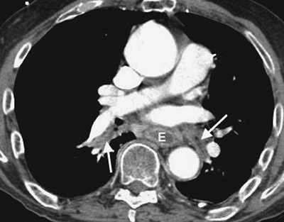
FIGURE 17-9. Mucous plugging. CTPA of a 75-year-old man with an esophageal stricture and gastroesophageal reflux shows a dilated esophagus (E) and low-attenuation material within the lower lobe segmental bronchi (arrows). The adjacent pulmonary vessels enhance normally.
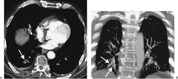
FIGURE 17-10. Mucous plugging. A: CTPA shows low-attenuation material occluding the right lower lobe subsegmental bronchi (arrow). The adjacent pulmonary vessels enhance normally. B: Coronal CT shows the impacted right lower lobe bronchi (arrows) adjacent to normally enhancing pulmonary vessels.
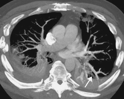
FIGURE 17-11. Pulmonary vein. CTPA shows a nonenhancing pulmonary vein in the left lower lobe (arrow). This should not be confused with a pulmonary artery. Pulmonary veins can be traced back to the left atrium on serial images.
FIGURE 17-12. Acute and chronic PE. A: Anteroposterior recumbent chest radiograph of a 27-year-old man with a history of DVT and acute shortness of breath shows right upper lobe airspace disease, mimicking pneumonia, and fullness of the left hilum, mimicking adenopathy. Endotracheal tube is positioned slightly high (arrowhead). B: CTPA shows wedge-shaped, pleural-based airspace disease in the right upper and lower lobes. The main (M), right (R), and left lower lobe (L) pulmonary arteries are enlarged, correlating with the measured systolic pulmonary artery pressure of 90 mm Hg. C: CTPA at a level inferior to (B) shows old low-attenuation clot, eccentrically distributed along the posterior wall of the right pulmonary artery (arrowheads), and acute clot filling a right lower lobe basilar segmental pulmonary artery branch (arrow).
FIGURE 17-13. Chronic PE. A: PA chest radiograph of a 43-year-old woman with recurrent DVT and PE for 20 years shows a small right pulmonary artery and diminutive vessels in the right upper lobe. B: CTPA shows a small irregular right pulmonary artery with residual clot and areas of recanalization (solid arrow) and bronchial artery collaterals (dashed arrow). C: CTPA at a more inferior level shows additional bronchial artery collaterals in a paraspinal and subpleural location (arrows). The main pulmonary artery (PA) is markedly enlarged. D: CTPA with lung windowing shows small right pulmonary arteries and a mosaic pattern of lung attenuation.
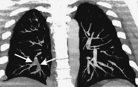
FIGURE 17-14. Chronic PE. CTPA shows a mosaic pattern of lung attenuation. Note diminutive vessels in the areas of hypoattenuated lung.
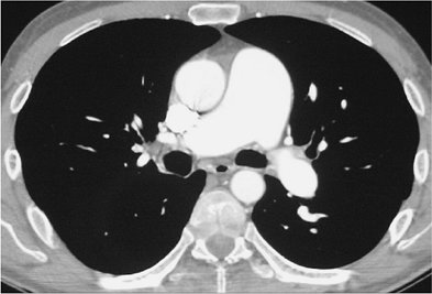
FIGURE 17-15. Chronic PE. CTPA shows marked enlargement of the main pulmonary artery, which is larger in diameter than the adjacent ascending aorta.
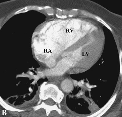
FIGURE 17-16. Chronic PE. CTPA shows enlargement of the right ventricle (RV) and right atrium (RA). The right ventricle/left ventricle (LV) ratio is greater than 1.
FIGURE 17-17. Chronic PE. CTPA shows enlarged bronchial arteries (arrow) adjacent to the esophagus.
FIGURE 17-18. Deep venous thrombosis and acute PE. A: CTPA of a 66-year-old woman with an endometrial mass and left leg swelling shows bilateral PE. B: CTV performed immediately after the CTPA shows left DVT (arrow). C: CTV at a more inferior level shows expansion of the involved left lower-extremity vein and soft tissue stranding of the adjacent fat (arrow).
PE and DVT are different manifestations of the same clinical disease. One advantage of CTPA is the ability to add CTV, from the iliac crest to the tibial plateau, to detect DVT in the legs
P.281

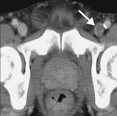
and pelvis (Figs. 17-20 and 17-21). Both CTPA and CTV can be accomplished with the same bolus of contrast agent. Unlike lower-extremity ultrasound, CTV can image the external and internal iliac veins. Venous thrombosis can also occur in the upper extremities and in the thorax and can be detected on CTPA (Fig. 17-22).
FIGURE 17-19. Partial volume artifact. A: CT with 5-mm collimation shows incomplete enhancement of a left lower lobe segmental pulmonary artery (arrow). B: CTPA on the same day shows homogeneous enhancement of the vessel and no evidence of PE.
The D-dimer assay, a test that detects one of the products of fibrin breakdown in the blood, is an important rapid initial test for DVT and PE. Recent studies show that the enzyme-linked immunosorbent assay D-dimer test can accurately rule out DVT and PE in the vast majority of cases (11). However, this test can be falsely positive in postoperative patients, patients on anticoagulation, and patients with recent trauma.
FIGURE 17-20. Deep venous thrombosis. CTV shows intraluminal filling defect within the left femoral vein (arrow).
MRI is useful in the evaluation of suspected PE when patients are allergic to iodinated contrast medium. Because it does not involve ionizing radiation, it is also advantageous in children and pregnant women.
Anticoagulant therapy must be considered for DVT as well as for PE; therefore, ultrasound of the deep venous system should have a primary screening role in patients suspected of PE. Ultrasound imaging has the advantages of being readily available and noninvasive. If ultrasound is negative for DVT, depending on the degree of clinical suspicion, further evaluation is generally obtained with a V/Q scan or CTPA.
The diagnostic feature of PE on a V/Q scan is a perfusion defect in a region of normally ventilated lung - the so-called "mismatched perfusion defect." Interpretation of V/Q scans is based on a comparison of the V/Q images and the chest radiograph, which gives rise to a report of "normal" or of low, intermediate, or high probability of PE (4). An abnormal V/Q scan indicating a low probability for recent PE is one in which the individual perfusion defects are smaller than 25% of a segment, regardless of the chest radiographic and ventilation scan appearances; are matched on the ventilation scan; or are accompanied by larger chest radiographic abnormalities. A high-probability scan is one in which there are two or more perfusion defects that are not matched by corresponding ventilation defects or chest radiographic abnormalities, including at least one of segmental or larger size. In the appropriate clinical setting, a high-probability V/Q scan indicates a probability of PE exceeding 90%. An intermediate-probability V/Q scan, also described as an indeterminate scan, is an abnormal scan that does not fit into the low- or high-probability categories. It includes those with perfusion defects that, although matched, correspond in size and shape to an area of opacity on the chest radiograph (and, therefore, may represent infarction or pneumonia) or with perfusion defects in areas of severe obstructive lung disease, pulmonary edema, or pleural effusion.
P.282

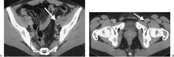
FIGURE 17-21. Deep venous thrombosis. A: CTV of a 42-year-old man with protein C deficiency and recurrent DVT shows a filling defect within a left pelvic vein (arrow). B: CTV at a more inferior level shows thrombus within the left femoral vein (arrow).
Only 15% or fewer of thromboemboli cause pulmonary infarction (12). It is not known why some emboli cause infarction and others do not, but it is likely a result of compromise of both the pulmonary and bronchial arterial circulation. This is most likely to occur with peripheral emboli and in patients with left heart failure or circulatory shock (13). It is known that bronchial circulation alone can sustain the lung parenchyma without infarction occurring (14).
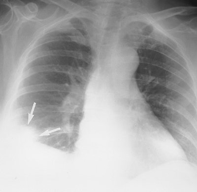
Pulmonary infarction results in airspace opacities that are usually multifocal and predominantly in the lower lungs. They usually appear within 12 to 24 hours after the embolic event. The opacities are classically peripheral, with a triangular or rounded shape (thus the term Hampton hump), and they are always in contact with the pleural surfaces (Figs. 17-23 and 17-24). The apex of the opacity is directed toward the lung hilum. Occasionally, lobar opacity resembling pneumonia can occur. Air bronchograms are rarely present. It is important to note that the opacities can represent a combination of pulmonary hemorrhage and atelectasis without infarction, in which case clearing occurs within a week. Infarction takes several months to resolve, often with residual scarring (Fig. 17-25). As infarcts resolve, they melt away "like an ice cube" (giving rise
P.283

to the so-called "melting ice cube sign"; Fig. 2-16). The opacity clears from the periphery first, whereas in pneumonia the opacity clears homogeneously, both centrally and peripherally at the same time. Cavitation can occur within infarcts but is rare without coexisting infection, either secondary infection of an infarct or a result of septic emboli or vasculitis.
FIGURE 17-22. Superior vena cava thrombus. A: CT of a 47-year-old woman on hemodialysis shows nearly complete occlusion of the superior vena cava with thrombus (arrow). B: CT at a more inferior level shows collateralization of blood flow through an enlarged right azygos vein (arrow). C: CT at a level inferior to (B) shows enlargement of the azygos (solid arrow) and hemiazygos (dashed arrow) veins.
FIGURE 17-23. Pulmonary infarction. PA chest radiograph of a 68-year-old woman with acute shortness of breath shows a pleural-based, rounded opacity at the right costophrenic angle (Hampton hump; arrows), representing an acute parenchymal infarct. There is elevation of the right hemidiaphragm from atelectasis and subpulmonic effusion.
Pulmonary Arterial Hypertension
PAH is defined as pulmonary artery pressures above the normal systolic value of 30 mm Hg or above the mean value of 18 mm Hg. There are numerous causes of PAH (Table 17-2), which is classically categorized as either precapillary or postcapillary. Regardless of the etiology, the radiologic features are similar and include enlargement of the central pulmonary arteries and narrowing or "pruning" of the peripheral pulmonary artery branches (Fig. 17-26). Right ventricular enlargement is often appreciated on the lateral chest radiograph. However,
P.284

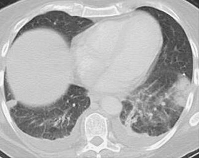
substantial PAH may be present in patients with normal chest radiographs. CT more accurately depicts the size of the pulmonary arteries and cardiac chambers. As a general rule, PAH is present when the main pulmonary artery diameter exceeds that of the ascending aorta or is 29 mm or more in diameter (15) (Fig. 17-27). In long-standing and severe PAH, the enlarged central pulmonary arteries may develop thrombus and peripheral calcification. This is most often seen in patients with Eisenmenger physiology, a condition characterized by a reversal in the direction of a long-standing severe left-to-right shunt (i.e., atrial septal defect, ventricular septal defect, patent ductus arteriosus) (Fig. 17-28). In postcapillary and some precapillary disorders, changes of pulmonary venous hypertension may be seen. The most salient finding is cephalization of pulmonary vasculature, which represents recruitment of upper lobe vasculature secondary to a diversion of blood flow. Pericardial effusions, usually small to moderate in size, are commonly associated with PAH.
FIGURE 17-24. Bilateral pulmonary infarcts. CT shows bilateral pleural-based opacities characteristic of pulmonary infarcts.
FIGURE 17-25. Old pulmonary infarcts. CT shows bilateral subpleural linear opacities, representing scarring from previous pulmonary infarcts.
TABLE 17-2 CAUSES OF PULMONARY ARTERIAL HYPERTENSION
Precapillary
Primary vascular
Primary pulmonary hypertension
Acute and chronic pulmonary thromboembolic disease
Pulmonary vasculitis
Peripheral pulmonary artery stenoses
Pleuropulmonary
Emphysema
Chronic interstitial lung disease
Bronchiectasis
Postpneumonectomy
Fibrothorax
Chest wall deformity
Alveolar hypoventilation
Obesity/hypoventilation syndrome
Upper airway obstruction
Neuromuscular disease
Postcapillary
Cardiac
Cardiac disease with Eisenmenger physiology
Left atrial myxoma/thrombus
Mitral valve disease
Left ventricular failure
Constrictive pericarditis
Pulmonary venous
Pulmonary veno-occlusive disease
Congenital pulmonary vein stenosis
Anomalous drainage of pulmonary veins
Fibrosing mediastinitis
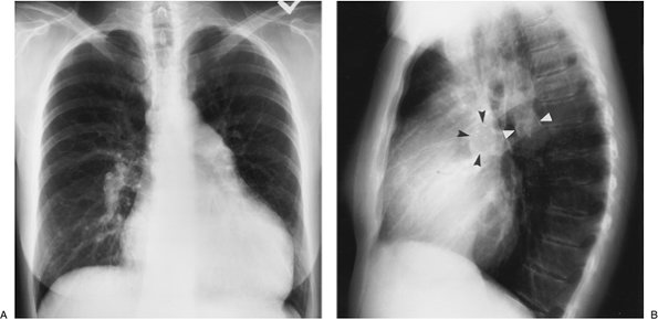
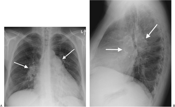
FIGURE 17-26. Primary pulmonary arterial hypertension. PA (A) and lateral (B) chest radiographs of a 54-year-old woman, obtained as part of a workup for lung transplantation, show enlargement of the central pulmonary arteries and narrowing of the peripheral branches. Fine curvilinear calcification can be seen outlining the central pulmonary arteries on the lateral view (arrowheads). There is also enlargement of the right atrium and right ventricle (note increased opacity posterior to the sternum on the lateral view).
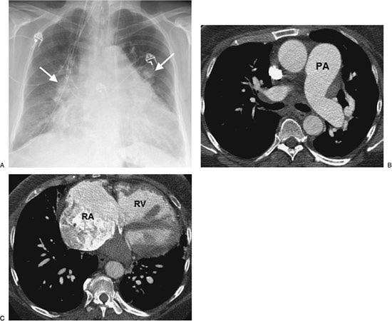
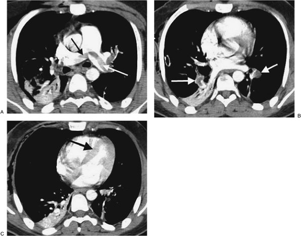
FIGURE 17-27. Primary pulmonary arterial hypertension. A: PA chest radiograph of a 54-year-old woman shows enlargement of the pulmonary arteries (arrows) and cardiac enlargement. B: CT confirms enlargement of the main (PA), right, and left pulmonary arteries. Note that the main pulmonary artery is larger in diameter than the adjacent ascending aorta. Systolic and diastolic pulmonary artery pressures were 97 mm Hg and 53 mm Hg, respectively, with a mean pressure of 70 mm Hg. C: CT at a more inferior level shows enlargement of the right atrium (RA) and right ventricle (RV).
P.285

Pulmonary Artery Tumors
Primary pulmonary artery sarcomas are exceedingly rare. They involve the central pulmonary arteries and often completely occlude the involved vessel. The appearance on CT can mimic massive acute PE. However, when complete occlusion and expansion of the main, left, or right pulmonary arteries is seen, tumor should be considered. Even so, it is more common that this appearance is caused by metastatic tumor or invasion of the pulmonary artery by adjacent mediastinal or central bronchogenic carcinoma than by primary pulmonary artery sarcoma.
FIGURE 17-28. Pulmonary arterial hypertension and Eisenmenger physiology. A: PA chest radiograph of a 47-year-old woman with a long-standing atrial septal defect shows enlargement of the pulmonary arteries (arrows) and cardiomegaly. B: Lateral view shows rim calcification of enlarged pulmonary arteries (arrows).
Tumors most commonly known to embolize through the pulmonary arterial circulation include bronchioloalveolar carcinoma; carcinomas of the breast, kidney, stomach, liver, and prostate; and choriocarcinoma (16). The characteristic CT features are dilatation and beading of peripheral pulmonary arteries
P.286

(Fig. 17-29). The appearance can resemble the "tree-in-bud" appearance of small airway disease (17). Maximum-intensity-projection images can be helpful in showing continuity of the distal vessels with more central pulmonary vessels in cases of tumor emboli. Many more cases of tumor emboli are discovered at autopsy than antemortem.
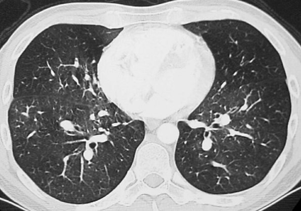
FIGURE 17-29. Tumor emboli. A: CT of a 16-year-old boy with a large pelvic sarcoma shows dilated and beaded peripheral pulmonary arteries (arrows). B: Maximum-intensity-projection image shows the continuity of these abnormal vessels with the central pulmonary arteries.
References
1. Horlander KT, Mannino DM, Leeper KV. Pulmonary embolism mortality in the United States, 1979–1998: an analysis using multiple-cause mortality data. Arch Intern Med. 2003;163:1711–1717.
2. Worsley DF, Alari A, Aronchick JM, et al. Chest radiographic findings in patients with acute pulmonary embolism: observations from the PIOPED study. Radiology. 1993;189:133–136.
3. Wenger NK, Stein PD, Willis PW. Massive acute pulmonary embolism: the deceivingly nonspecific manifestations. JAMA. 1972;220:843–844.
4. The PIOPED Investigators: value of ventilation-perfusion scan in acute pulmonary embolism. Results of the prospective investigation of pulmonary embolism diagnosis (PIOPED). JAMA. 1990;20(263):2753–2759.
5. Coche E, Verschuren F, Keyeux A, et al. Diagnosis of acute pulmonary embolism in outpatients: comparison of thin-collimation multi-detector row spiral CT and planar ventilation-perfusion scintigraphy. Radiology. 2003;229:757–765.
6. Winer-Muram HT, Rydberg J, Johnson MS, et al. Suspected acute pulmonary embolism: evaluation with multi-detector row CT versus digital subtraction pulmonary arteriography. Radiology. 2004;233:806–815.
7. Gotway MB, Yee J. Helical CT pulmonary angiography for acute pulmonary embolism. Appl Radiol. 2002;April:21–30.
8. Hull RD, Raskob GE, Ginsberg JS, et al. A noninvasive strategy for the treatment of patients with suspected pulmonary embolism. Arch Intern Med. 1994;154:289–297.
9. Kavanagh EC, O'Hare A, Hargaden G, et al. Risk of pulmonary embolism after negative MDCT pulmonary angiography findings. AJR Am J Roentgenol. 2004;182:499–504.
10. Stein PD, Henry JW, Relyea B. Untreated patients with pulmonary embolism: outcome, clinical, and laboratory assessment. Chest. 1995;107:931–935.
11. Perrier A, Roy PM, Sanchez O, et al. Multidetector-row computed tomography in suspected pulmonary embolism. N Engl J Med. 2005;352:1760–1768.
12. Moser KM. Pulmonary embolism: state of the art. Am Rev Respir Dis. 1977;115:829–852.
13. Tsao MS, Schraufnagel D, Wang NS. Pathogenesis of pulmonary infarction. Am J Med. 1982;72:599–606.
14. Dalen JE, Haffajee CI, Alpert JS, et al. Pulmonary embolism, pulmonary hemorrhage and pulmonary infarction. N Engl J Med. 1977;296:1431–1435.
15. Kuriyama K, Gamsu G, Stern RG, et al. CT-determined pulmonary artery diameters in predicting pulmonary hypertension. Invest Radiol. 1984;19:16–22.
16. Shepard JO, Moore EH, Templeton PA, et al. Pulmonary intravascular tumor emboli: dilated and beaded peripheral pulmonary arteries at CT. Radiology. 1993;187:797–801.
17. Franquet T, Gimenez A, Prats R, et al. Thrombotic microangiopathy of pulmonary tumors: a vascular cause of tree-in-bud pattern on CT. AJR Am J Roentgenol. 2002;179:897–899.